Lateral Hip Pain (Outer)
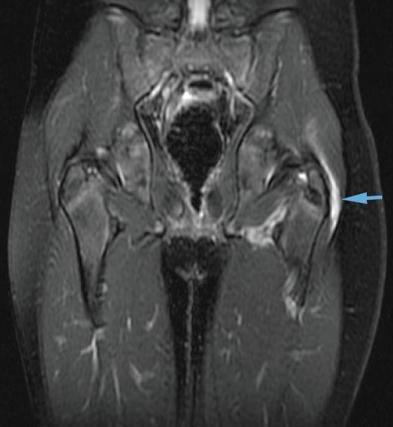
The most common reason for Lateral (outer) hip pain is Trochanteric Bursitis.
This is inflammation of the trochanteric bursa.
This bursa is at the top, outer side of the femur. It has the function of working as a shock absorber and as a lubricant for the movement of the muscles adjacent to it, especially the Ilio-Tibial Band (ITB). This is a strong sheet of tissue that runs from the Pelvis all the way past the knee to insert into the Tibia.

Bilateral (2) Hip and Knee ReplacementsChronic Ankle Instability
The ITB can get tight over time or due to general deconditioning and poor gait. The ITB will cause friction over the Trochanteric Prominence causing the Bursa to get inflamed.

Clinically this condition presents as pain and tenderness over the outer side of the Hip. There is often pain on walking up and down stairs and inability to sleep on that side.
5 Steps to Finding the Perfect Life after Knee Replacement

Know all things about Knee Replacement Surgery Procedure.
This condition is more common in middle-aged women and is associated with a chronic and debilitating pain which does not respond to conservative treatment.
The mainstay of conservative,non-operative treatment consists of :
1. Weight Loss
2. ITB stretches
3. Core Strengthening
4. Gait retraining
This can be augmented with
1. Anti-inflammatory medication
2. Intra-bursal Steriod and Local Aneasthetic injection

Source - www.sports-Injury-info.com
If this treatment plan is followed there is an 80% success- however, can take 8-12mths for complete resolution.
If symptoms fail to resolve then surgical ITB release and Bursectomy is an option.